
What Does Losing a Tooth Actually Do to Your Face?
The majority of people believe that missing teeth are merely a gap in the smile and a cosmetic concern.
However, that is just the start.
The appearance of your entire face can be altered over time by that one missing tooth. It’s not just about how your smile looks; it’s also about how your bite works, how your face is supported, and how your bones behave underneath the surface.
Why Your Teeth Are Essential to the Structure of Your Face
Your teeth serve more purposes than just chewing. Like internal scaffolding, they serve as structural anchors for your lips, cheeks, and jaw, keeping your face in place.
Chewing no longer applies pressure to the jawbone that held a missing tooth. That bone starts to resorb, or shrink. This may eventually alter the position of your face’s soft tissues.
The walls of a building will eventually begin to sink inward as the bricks behind it gradually disappear. The face experiences the same thing.
The Changes in Your Face That May Occur When You Lose a Tooth
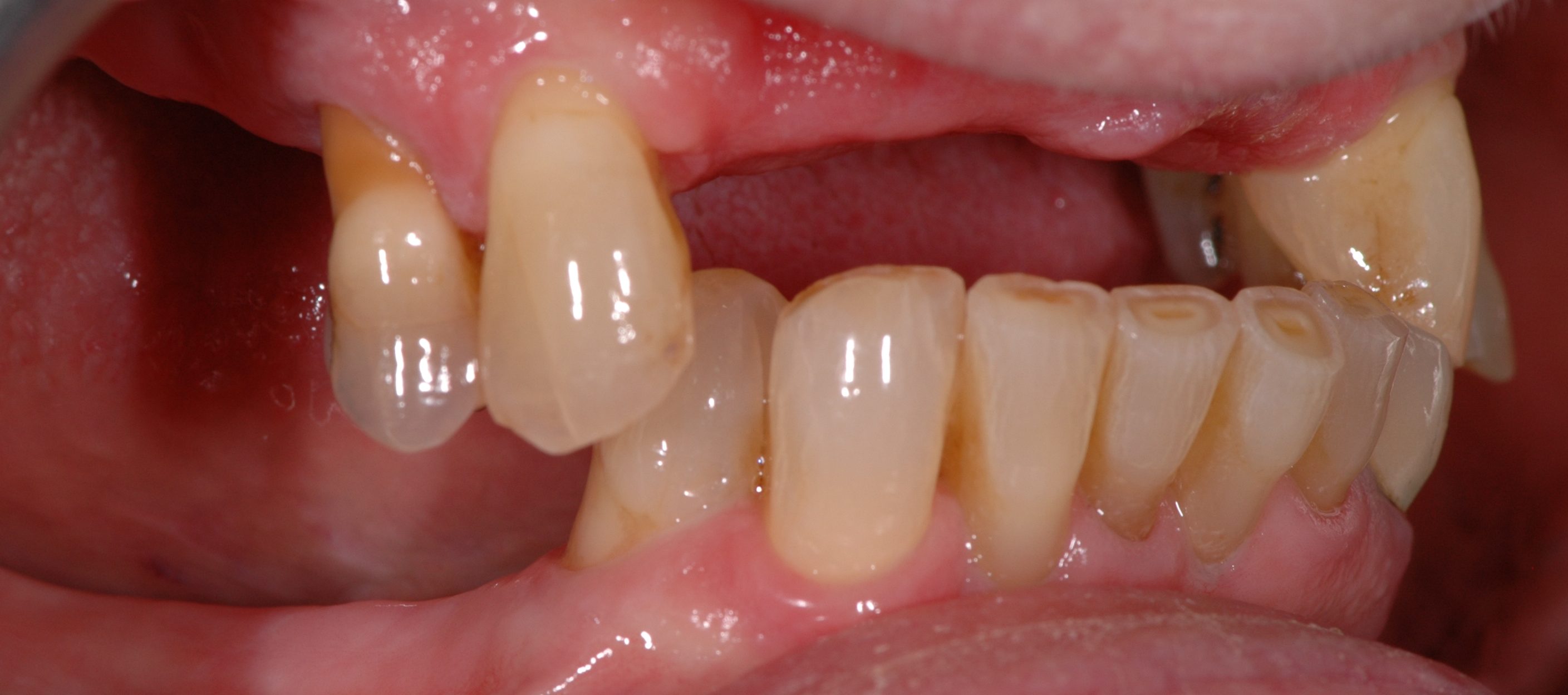
- Sunken cheeks: Particularly after losing back teeth (molars or premolars)
- Flattened lips: Loss of front teeth reduces lip support
- Wrinkles around the mouth: Skin loses internal support and tension
- Jaw misalignment: When one side shifts to compensate for missing teeth
- Overall facial asymmetry: Particularly with multiple missing teeth
Even if the missing teeth aren’t noticeable when you smile, these changes can cause a noticeably aged or changed appearance over months or years.
Bone Loss’s Contribution to Facial Collapse
Chewing no longer stimulates the surrounding bone after a tooth extraction. The body starts to break it down because it believes it is no longer necessary.
It doesn’t take years for this bone loss to start. It may begin in a matter of weeks.
Research indicates that during the first year following tooth extraction, up to 25% of bone width may be lost.
Why It’s Not “Just One Tooth”
The jaw functions as a single unit. The others adjust when one is compromised.
Teeth next to the gap might start to move or tilt. The bite shifts. The pressure moves to another place. You start chewing in a new way. Even the posture of the neck can occasionally be impacted.
The final solution for a missing tooth may become more difficult and invasive the longer it is neglected.
What Happens If You Do Nothing?
If you’ve lost a tooth — or know one may need to be removed — understanding what could follow helps you make informed choices.
There are different directions things can go:
- Some people adjust without symptoms, but changes happen gradually
- Some experience visible soft tissue collapse
- Some develop bite issues, wear, or jaw discomfort over time
The earlier you understand the process, the more control you have over how it affects your health and appearance.
Synopsis: Important Information
Losing a tooth has an impact on the base of your face in addition to your smile.
Bone loss, bite collapse, soft tissue alterations, and facial ageing are all possible outcomes.
Early awareness helps maintain your long-term health, appearance, bite, and confidence.
Start by considering how losing a tooth will impact your face going forward when deciding what to do.